Adresa:
Bine ati venit,
Cabinet dentar pentru copii in Timisoara Dr. Avram Ciprian

Este important sa mentinem sanatatea dintilor de lapte. Cariile neglijate pot si de obicei chiar duc la probleme ce afecteaza permanent dezvoltarea dintilor.
Prioritatea noastra, a celor de la cabinetul stomatologic, este sa ne manifestam grija fata de dentitia copiilor tai, concentrandu-ne pe preventie, pe tratamente de calitate si pe o motivare pozitiva. Mai multe...
Cabinet stomatologic pentru copii in Timisoara
Tratament si servicii stomatologice pentru copii in Timisoara
- Consultatii stomatologice | - Identificarea placii dentare | |
- Periaj dentar | - Extractie dinti de lapte | |
- Fluorizare dentara | - Terapia cariilor dentare | |
- Aparate dentare pentru copii | - Aparate dentare pentru adulti | |
- Sigilare dinti pemanenti | - Supravegherea eruptiei dintilor de lapte | |
- Consultatie pentru aparate dentare pentru copii | - Servicii si tratament ortodontic Timisoara |
Profilaxia

Profilaxia este primul pas in ingrijirea dentara. Urmand cateva reguli simple de igiena orala ca folosirea atei dentare, putem elimina disconfortul timp posibil de un tratament dentar. La cabinetul nostru puteti beneficia de periaj profesional, fluorizare, identificarea placii dentare. Mai multe...

Prioritatea noastra, a celor de la cabinetul stomatologic, este sa ne manifestam grija fata de dentitia copiilor tai, concentrandu-ne pe preventie, pe tratamente de calitate si pe o motivare pozitiva.
Vrem sa cream o atmosfera placuta, confortabila, in care copiii sa agreeze obiceiurile legate de ingiena dentara inca de la inceput.
Consideram ca prima vizita a copilului la cabinet trebuie sa fie distractiva, educativa si mai ales, sa creeze o impresie pozitiva. Te incurajam sa fi alaturi de copil pe parcursul primelor vizite. Apoi ar fi bine sa-l obisnuim sa ramana singur cu noi in cabinet.
Te invatam si pe tine si pe copilul tau cum sa va ingrijiti cat mai bine dantura.
Iti vom furniza informatii privind cauzele care favorizeaza aparitia cariilor si ce anume poti face pentru a le preveni.
Copilul dumneavoastra are nevoie de o consultatie la un medic care practica si pedodontia (stomatologia pediatrica). Evolutia dentitiei sale trebuie urmarita periodic, un control de rutina fiind indispensabil.
Pedodontia nu are proceduri stomatologice atat de diferite de cele pentru adulti, insa nu orice doctor stomatolog practica stomatologia pentru copii, deorece este nevoie de foarte multa rabdare si de comunicare in relatia cu micutul pacient. Obisnuirea copilului cu pedodontul trebuie inceputa cat mai devreme. De aceea medicul dentist pentru copii este pregatit si are "jucariile" necesare pentru a face placuta fiecare vizita la clinica stomatologica.
Informatiile pe care vi le transmite un stomatolog pedodont sunt foarte importante si ajuta la o evolutie sanatoasa a starii de sanatate oro-dentare a copilului dumneavoastra. Mai multe...
Serviciile oferite de cabinetul nostru dentar din Timisoara:
- consultatii stomatologice
- periaj dentar
- fluorizare
- sigilarea dintilor permanenti
- terapia cariilor
- consultatii ortdodontice pentru copii Timisoara
- aparate dentare pentru copii in Timisoara - plata in rate
Sfatul medicului dentist pentru copii Timisoara
1) Vom aplica metoda sigilarii (prevenirea aparitiei cariilor). Astfel micutul pacient va fi scutit de neplaceri atunci cand mananca, doarme ori tot timpul cand are alte activitati. Prima vizita la dentistul pediatru trebuie sa fie pana la varsta de 2 ani si 6 luni, in mod normal aceasta fiind si perioada finala de eruptie a dintilor.
Lipsa de cooperare a copiilor in clinica de stomatologie se intalneste frecvent. Chiar si copii cu varste intre 5-8 ani au aceasta dificultate. De aceea trebuie aplicate masuri placute, care sa faca micutul pacient sa coopereze. In cele mai multe cazuri parintii sunt responsabili pentru atitudinea si educatia copiilor cu privire la vizitele din cabinet.
2) Medicul stomatolog pentru copii poate aplica o serie de masuri pentru preventie si mentinerea sanatarii dentitiei copilului dumneavoastra (aplicare de paste cu fluor, sigilari, periaje dentare - dar si transferul unor cunostinte specifice de ingrijire dentara prin metode deja cunoscute).
Se recomanda consultul pedodontic la fiecare 6 luni; cele mai multe probleme ale dentitiei copiilor se datoreaza lipsei de informatii (parintii trebuie sa cunoasca). De exemplu - bebelusilor nu trebuie sa le administrati alimente dulci si/sau lichide indulcite in special noaptea cand dentitia lor poate fi mai usor afectata.
3) Primii dinti (acoperiti de gingie) se formeaza in timpul sarcinii, motiv pentru care alimentatia mamei trebuie sa fie cat mai corecta.
Dintii de lapte ai copilului au o importana deosebita in dezvoltarea normala a catorva componente aferente. Dintii incep sa se dezvolte foarte devreme (primii apar in perioada 6-10 luni). Dupa 6-8 ani dintii permanenti inlocuiesc dintii de lapte.
Dezvoltarea dintilor permanenti
Eruptia dentara - aparitia primilor dintisori
Niciun subiect nu a fost asa mult dezbatut in practica medicala precum dentitia. Cu un secol in urma, eruptia dentara era considerata a fi cauza principala a mortii bebelusilor. Majoritatea simptomelor grave ale acestei grupe de varsta (incluzand epilepsia si chiar paralizia infantila) erau puse pe seama eruptiei dentare. La inceputul secolului 21, parerea principala despre dentitie s-a mutat la polul opus, si anume ca eruptia dentara e posibil sa nu cauzeze niciun simptom (in unele cazuri nici macar durere, plansete sau probleme cu somnul).
Ne bucuram ca eruptia primilor dintisori nu mai este un diagnostic atat de blamat ca acum un veac, insa el reprezinta totusi un proces inconfortabil pentru unii bebelusi si poate creste putin temperatura corpului, poate mari secretia de mucus si saliva, pot aparea simptome conexe. Majoritatea parintilor stiu ca aceste simptome exista cu adevarat, intrucat le-au experimentat in cazul iesirii dintisorilor copiilor lor.
Ce este eruptia dentara?
Erupta dentara este procesul prin care primii dinti strapung gingia si apar in gura bebelusului.
Pentru un bebelus, gurita este un mijloc deosebit de sensibil, permitandu-i sa-si conecteze corpul si mintea in plina dezvoltare la mediul inconjurator. Isi foloseste gurita sa-si intalneasca mama, sa-si potoleasca constata foame, sa se aline singur intre mese si sa descopere obiectele din aceasta lume mare ce-l inconjoara. Cand dintisorii cei tari incep sa apara in acest orificiu sensibil si moale, avem de a face cu un eveniment major in viata unui copil.
Cand gurita devine o sursa de durere, pentru unii copii este de-a dreptul nelinistitor. Daca v-ati muscat vreodata interiorul obrazului, veti stii cat de enervanta poate fi o bucatica de carne neregulata. Pentru un bebelus, patrunderea unui dinte tare, ascutit in gingiuta lui moale, umflata poate fi foarte suparatoare. Unii dintre ei se adapteaza repede, dar la inceput senzatia poate fi mai inconfortabila decat o pietrica in pantof.
Cand apare?
Dintii (sau dintele) care cauzeaza cea mai mare durere variaza de la copil la copil. Cel mai adesea primul dinte este cel care produce cel mai mare discomfort - sau molarii aceia mari, atunci cand sosesc. Pentru majoritatea copiilor, sa fie deranjati de mai multi dinti in acelasi timp este un cosmar.
Desi momentul de aparitie al primilor dinti este intre 5 si 7 luni, poate exista o variatie larga a acestui interval. Dintisorii pot aparea chiar si la 1 luna de viata sau pot astepta pana copilul face 1 an si jumatate. Debutul dentitiei oricand in acest interval este perfect normal. (Daca nu apare niciun dintisor pana la varsta de un an, multi parinti iau in considerare o vizita la dentist pentru a se asigura ca totul este in ordine.)
In general, dintii de jos apar inaintea celor localizati pe maxilar, si, tot in general, dintii fetitelor apar inaintea celor ai baieteilor(ca orice alta etapa din viata lor in primii ani, de altfel). Eruptia intarziata a tuturor dintisorilor poate fi un rezultat al unei probleme nutritionale, cum ar fi rahitismul, sau a unei afectiuni sistemice, precum cele ale glandelor pituitare si tiroida.
Copiii prezinta de obicei aceleasi simptome de la eruptia primilor dinti atunci cand apar primii molari permanenti, in jurul varstei de 6-7 ani.
Care sunt simptomele?
In cazul unor copii, eruptia dentara poate crea discomfort, iritabilitate, o usoara febra, saliva si mucus abundente sau scaune moi. Parintii isi vor observa bebelusii salivand si ducandu-si constant manutele la gurita.
Este contagios?
Nu
Cat dureaza?
Procesul de eruptie al dintisorilor incepe cu 2 luni inainte ca dintele sa iasa, propriu-zis, la suprafata si creste intermitent. Toti dintii primari ies pana la varsta de 20-30 luni, insa majoritatea copiilor nu prezinta simptome importante cu fiecare dinte care sparge gingia.
Cum este diagnosticata?
Eruptia dentara este diagnosticata prin observare. Febra mare sau iritabilitatea severe nu ar trebui atribuite iesirii dintilor, ci cautate alte cauze. De asemenea, durerea pricinuita de infectiile urechii sunt adesea identificate ca apartinand dintilor.
Cum este tratata?
Cand le ies dintisorii, bebelusii duc adesea mana la gurita, intrucat exercitarea presiunii asupra gingiilor alina durerea. Masajul tinde sa fie si mai linistitor cand este efectuat de altcineva, si asta nu numai in cazul dintilor. O metoda nemaipomenita de a alina durerile dentare ale bebelusului este de a-i freca gingiile ferm, dar bland, cu un deget foarte curat. La primele atingeri bebelusii nu vor fi foarte incantati, insa devin foarte relaxati pe masura ce masajul continua.
Furnizandu-i obiecte reci care pot fi mestecate, vom usura, de asemenea, durerile copilului. Tesaturi ude sau jucarii din prosop tinute la frigider sau congelator, sunt iarasi numai bune de linistit. Unii sunt incantati de obiecte netede, tari, cum ar fi manerul unei perii de par. Orice alegeti, fiti atenti ca obiectul sa nu poata fi inghitit si sa nu se poata ineca cu el.
Gelurile de dinti ce contin benzocaina pot fi o binecuvantare pentru copii si parinti. Reduc, intr-adevar, durerea, dar pot lasa in gura bebelusului o senzatie de "abia iesit de la dentist". Unii copii resping senzatia de umflat, amortit, la fel de mult cum urasc durerea. Oricum, efectul acestor geluri este de scurta durata. Si, pe deasupra, pot prezenta si un risc minor de alergii. Ibuprofenul poate oferi o usurare mai mare a durerii si ajuta, de asemenea, si in cazul problemelor cu somnul.
Cum poate fi prevenita?
Remediile descrise mai sus, cum sunt masajul si mestecarea unor obiecte reci, poate ajuta la prevenirea durerii asociate eruptiei primilor dintisori. Mai multe...
Link www.mamica.ro
Albire dentara in Timisoara

Daca vrei rezultate imediate, profita de ultima tehnologie in albirea dentara de la Phillips. Zoom este solutia perfecta pentru un zambet stralucitor dupa doar o sedinta de 1 ora la cabinetul nostru din Timisoara.Mai mult...
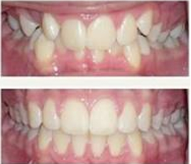
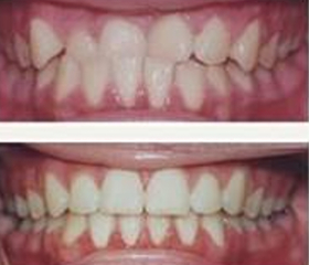
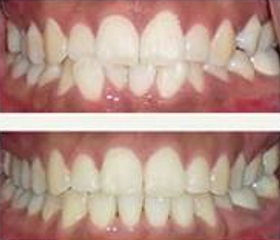
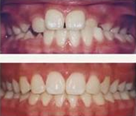
Aparate dentare pentru copii in Timisoara Dr. Grosu Madalina
Ortodontia trateaza problemele de malocluzie si malpozitie dentara (inchiderea sau ocluzia incorecta a celor doua arcade si pozitionarea incorecta a dintilor pe arcada. Mai multe...
Ortodontie pentru copii in Timisoara
Tratament si servicii ortodontice
- - Consultatii pentru aparate dentare - copii si adulti
- - Aparate dentare fixe ortodontice
- - Aparate dentare mobile
- - Aparate dentare estetice
- - Aparate dentare invizibile
- - Aparate dentare personalizate prin sistem Insignia cu bracketi Damon
- - aparate dentare pentru copii in Timisoara - plata in rate
Ortodontia rezolva probleme legate de inghesuiri dentare, angrenaje inverse, rotatii dentare, dinti nealiniati pe arcade, etc. Malpozitiile dentare afecteaza si fizionomia, astfel incat tratamentul ortodontic este direct implicat in rezolvarea problemelor de estetica dentara cat si a celor functionale. Astfel, malpozitiile dentare pot afecta negativ articulatia temporo-mandibulara, pot provoca dureri la masticatie; alinierea dentara usureaza semnificativ igiena dentara, fiind redus astfel riscul de carie.
Aceste obiective pot fi atinse cu ajutorul aparatelor ortodontice, care se impart in mai multe categorii: mobile, mobilizabile si fixe. Daca primele 2 tipuri se adreseaza copiilor pana la 12-14 ani si anomaliilor usoare, aparatele fixe sunt utilizate pentru o pozitionare perfecta a dintilor chiar si in cele mai dificile anomalii. Aparatele fixe utilizate in cabinetul nostru sunt pozitionate pe fata externa (vizibila) a dintilor si pot fi compuse din brackets metalici sau ceramici pentru un efect fizionomic cat mai placut. Vom oferi pacientilor nostri si posibilitatea alegerii unor aparate ortodontice fixe pozitionate pe fata interioara (dinspre limba) a dintilor, in acest caz aceste aparate fiind complet fizionomice.
Primele zile de dupa aplicarea aparatului dentar fix va recomandam urmatoarele:
1. Folositi ceara de protectie pe toate zonele aparatului care jeneaza buzele, obrajii sau limba. Daca tensiunea resimtita in prima zi este mare, puteti lua un antiinflamator sau un analgezic (Nurofen, Paracetamol) pentru a o reduce, respectand indicatiile medicului asupra dozei si frecventei; Folositi o alimentatie de consistenta mai redusa, in special in primele zile;Respectati indicatiile privind igiena aparatului si incercati ca ele sa devina in scurt timp o rutina( periaj orizontal pe zonele cu bracketuri si utilizare periutei interdentare, folosirea dusului bucal)
2. Evitati alimentele dure sau lipicioase ce pot deteriora aparatul (guma de mestecat, caramele, alune, fistic, covrigi, fructe tari etc).
3. Nu se va musca din nici un aliment folosind dintii din fata - alimentele se rup sau se taie in bucati si se mesteca pe dintii posteriori.
4. In unele etape de tratament este posibil ca medicul dvs sa va indice purtarea unor elastice. Respectati indicatiile privind modul de aplicare si numarul de ore de purtare zilnica!
5. Daca se desprinde un inel sau un bracket, acesta se va pastra, fiind repozitionat de catre medicul specialist ortodont la urmatorul control.
6. Capatul legaturilor metalice este de obicei rasucit sub arc. Daca in cursul periajului sau alimentatiei acesta se deplaseaza si devine iritant pentru obraz sau limba, incercati sa il impingeti la loc cu degetul, sau utilizati ceara ortodontica pentru a-l acoperi.
Pentru a raspunde celor mai exigente nevoi estetice, in cazul anomaliilor mai putin severe oferim pacientilor nostri posibilitatea tratamentului cu un aparat ortodontic complet transparent si invizibil, care este pozitionat pe arcadele dentare si care venind in contact cu dintii, ii duce in pozitiile dorite. Aceste aparate sunt deosebit de precise, fiind realizate in laboratoare specializate din strainatate cu care suntem in parteneriat, pe baza modelelor furnizate de catre cabinetul ortodontic.
Tratamentul ortodontic este posibil la orice varsta. Singura conditie necesara este ca sa nu existe boli generale sau acestea sa fie compensate ( de exemplu in cazul diabetului glicemia sa fie in limite normale o perioada mai lunga de timp). O alta contraindicatie o reprezinta afectiunile care anchilozeaza (sudeaza) dintii de os sau care modifica comportamentul normal al unor celule osoase specializate (cazuri foarte rare). La copii tratamentul ortodontic este in general inceput in timpul dentitiei mixte, adica dupa varsta de 6-7 ani. In cazul descoperirii unor obiceiuri vicioase care pot deforma arcadele dentare si dauna alinierii dintilor, exista unele aparate care pot contracara aceste obiceiuri si implicit pot preveni aparitia unor probleme ortodontice mai grave in viitor.
In general deplasarea dentara se produce mai rapid la copii si mai lent la adulti. Uneori in timpul deplasarilor dentare pot aparea usoare senzatii de jena sau tensiune pe care adultii uneori le acuza, spre deosebire de copii unde aceste fenomene sunt mult diminuate sau inexistente.
Obiceiurile vicioase sunt unele gesturi facute de copii, repetate constient sau nu de foarte multe ori pe zi, care au drept efect deformarea arcadelor dentare sau modificarea pozitiei dintilor. Exemple de obiceiuri vicioase:
1) Sugerea degetului dupa varsta de 3-4 ani;
2) Aspiratia buzei inferioare - apare de obicei in asociere cu un alt obicei vicios: Respiratia orala - cel mai frecvent se datoreaza vegetatiilor adenoide sau "polipilor" nazali, deviatiilor de sept, etc;
3) Deglutitia atipica ( interpunerea limbii intre dintii din fata in momentul inghitirii);
4) Prin diverse mecanisme, toate aceste obiceiuri aparent inofensive pot deforma arcadele dentare sau oasele maxilare ale copilului ducand la probleme mult mai mari la varste mai mari. De aceea este important in urma unui control la cabinetul ortodontic sa le identificam si urmand sfatul medicului specialist ortofont sa le eliminati din viata copilului dumneavoastra. Uneori simpla discutie si supraveghere poate rezolva problema, alteori poate fi nevoie si de aparatele dentare ortodontice special concepute in acest scop.
Bracketii aparatelor dentare estetice din ceramica nu sunt la fel de vizibili ca cei de metal. Aparatele dentare estetice din ceramica pot fi mai costisitoare decat cele din metal, dar arata mai bine. Mai multe...
Invisalign este un aparat dentar invizibil care in fiecare etapa foloseste cate o gutiera transparenta si pe parcurs dintii. Mai multe...

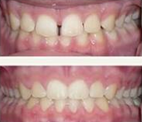
Cum iti poti da seama daca copilul tau are nevoie de un tratament ortodontic?
Uneori, semnele care sugereaza nevoie unui tratament ortodontic pot fi subtile.
- Intarzierea aparitiei dintilor permanenti;
- Copilul Dvs are obiceiuri viciose: sugerea degetului, respiratia orala (pe gura);
- Arcade dentare inegal sau asimetric;
- Dinti inghesuiti;
- Iesire laterala exterioara sau spre interior;
paratele dentare mobile, spre deosebire de dispozitivele conventionale, sunt folosite pentru a mentine dintii in pozitia corecta si, in unele cazuri, pentru a influenta cresterea faciala pentru a se realiza modificari ale structurii faciale, in plus se pot utiliza inainte sau in combinatie cu aparate fixe.
Aparatele dentare mobile nu sunt folosite pentru a trata toate problemele ortodontice. Varsta pacientului este, de asemenea, foarte importanta. Mai multe...
Sistemul Damon nu se refera numai la bracketii si firele revolutionare, este un mod cu totul nou de a trata pacientii. Tratamentul traditional necesita utilizarea expansiunii palatale sau extractia unor dinti (in principiu 4 premolari pentru a se rezolva inghesuirile). Aceasta abordare este deseori inconfortabila si dureaza mai mult. Cu Sistemul Damon obtinem un zambet plin, natural si sunt special concepute pentru a imbunatati rezultatul facial al fiecarui pacient. Mai multe...
APARATE DENTARE PERSONALIZATE DIGITALE SISTEM INSIGNIA CU BRACKETI DAMON TIMISOARA
Bracketii sistemului Insignia au fost conceputi pentru confortul pacientului si performanta clinica. Brachetii si arcurile sistemului Insignia sunt personalizate pentru fiecare pacient. Mai multe ...
Simplitate
- Deschiderea si inchiderea usoara a dispozitivului de auto-ligaturare
- Configurarea personalizata de lipire indirecta.
Mai multe...
Eficienta
- Bracketii sistemului Insignia sunt proiectati pentru a reduce la minimum numarul de vizite necesare pentru un tratament ortodontic eficient.
Mai multe...
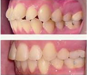
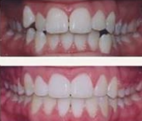
PROBLEME ORTODONTICE








Piata Victoriei nr 1/b (langa Cafe Tempo si vis-a-vis de fostul Cinema Studio)
Mijloace de transport in comun:
Tramvai 1, 2,4, 5, 6.
Statia de taxi este langa cabinet.
Exista parcare cu plata langa cabinet, langa hotel Central zona verde si rosie
Orarul cabinetului stomatologic este doar pe baza de programari telefonic.
Tel: 0786 11 00 00
Va asteptam cu drag
Dr. Avram Ciprian
Atentie! In cazul in care Dvs. sau copilul Dvs. este racit, va rugam sa anuntati pentru reprogramarea sedintei.
In perioada pandemiei, in cazul in care Dvs sau copilul Dvs este programat la consult, va rugam sa va prezentati la clinica cu certificatul digital european ( codul qr/pasaport verde) sau adeverinta de vaccinare. Va multumim